Plastikler artık hayatın her yerinde; hatta insan vücudunun kalp, akciğer ve plasenta gibi kritik organlarında bile izlerine rastlanıyor. İtalya’da yapılan yeni bir araştırma, mikroplastiklerin damar sağlığına dair endişeleri artıracak çarpıcı bulgular ortaya koydu.
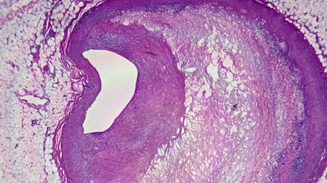
Napoli’deki Campania Üniversitesi’nden Raffaele Marfella liderliğinde yürütülen çalışmada, 257 hastanın damar tıkanıklığını açmak için yapılan ameliyatlarda çıkarılan yağlı plaklar incelendi. Araştırmacılar, bu plakların yaklaşık yüzde 60’ında polietilen, yüzde 12’sinde ise PVC parçacıkları tespit etti.
Üç yıla yakın takip edilen hastalar arasında, damarlarında mikroplastik bulunanların felç, kalp krizi ya da ölüm riskinin 4,5 kat daha yüksek olduğu belirlendi. Mikroskop altında yapılan incelemelerde, bağışıklık hücrelerinin içinde ve yağlı plaklarda pürüzlü plastik parçaları da gözlemlendi.
Laboratuvar deneyleri daha önce mikroplastiklerin kalp hücrelerinde iltihaplanma ve ritim bozukluğu gibi sorunlara yol açabileceğini göstermişti. Ancak bu yeni bulgular, mikroplastiklerin insan sağlığındaki etkilerine dair en somut işaretlerden biri olarak değerlendiriliyor.
Uzmanlar, çalışmanın gözlemsel nitelikte olduğunu ve doğrudan nedensellik kurulamayacağını vurgulasa da, mikroplastiklerin damarlarda birikmesi kalp-damar hastalıklarıyla bağlantılı olabileceği konusunda ciddi soru işaretleri uyandırıyor.





