Antalya'da yaşayan Y.S., 2021 yılında kızını dünyaya getirmek için özel bir hastanede doğuma girdi. Burada sezaryen ile doğumu gerçekleştirilen Y.S., taburcu edildiği gün yaşadığı kusma ve ağrı şikayetiyle tekrar aynı hastaneye başvurdu. Bağırsaklarında yaşadığı sıkıntı nedeniyle 12 gün hastanede yatan Y.S., bebeğinden de ayrı kaldı. Annesinin emziremediği bebek, mama ile beslendi. Taburcu edilen Y.S.'nin bu kez de dikişlerinden iltihap akmaya başladı. Tekrar başvuran Y.S.'ye doğumunu yaptıran doktoru D.A., iddiaya göre; durumun normal olduğunu, iltihabın zamanla biteceğini söyledi. Hastaneden ayrılan Y.S.'nin 2 yıl boyunca ara ara ağrıları ve iltihap akıntısı devam etti. Bu süre zarfında başvurduğu hastanelerden sonuç alamayan kadın, ağrıyla geçen 2 yılın ardından 2023 yılında Antalya Eğitim ve Araştırma Hastanesi'ne başvurdu.

SAVCILIĞA SUÇ DUYURUSUNDA BULUNDU
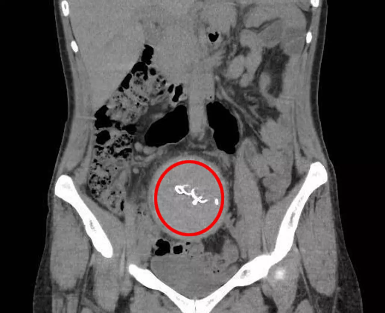
Burada yapılan kontrolde, doktor acil tomografi çektirmesini istedi. 2023 yılının Ağustos ayında çekilen tomografide, Y.S.'nin vücudunda doğum sonrası unutulan sargı bezi görüldü. Şoke olan Y.S., 2 yıldır yaşadığı ağrılara ihmalin sebep olduğunu öğrendi. Y.S.'nin karnında unutulan yaklaşık 30 santimetre uzunluğundaki gazlı bez ameliyatla alındı. Y.S., hastane ve süreç içerisinde ihmali bulunan doktorlar hakkında savcılığa suç duyurusunda bulundu.
'ÇOCUĞUMU KUCAĞIMA BİLE ALAMAMIŞTIM'
Çok zor günler yaşadığını belirten Y.S., 2 yıl boyunca ağrılarının ve ara ara iltihap akışının devam ettiğini söyledi. Y.S., "Farklı hastanelere de başvurdum ancak kimse teşhis koyamadı. En son Antalya Eğitim ve Araştırma Hastanesi'ne başvurdum. Burada bana doğum sırasında vücudumda sargı bezi kaldığı söylendi. Doğum yaptığımda 10 gün boyunca ağrılarım yüzünden çocuğumu kucağıma bile alamamıştım" diye konuştu.

'STERİL OLDUĞUNDAN HASTAYA ZARAR VERMEMİŞTİR'
Suç duyurusunun ardından Sağlık Bakanlığı, olayla ilgili inceleme başlattı. İncelemede dosyada adı geçen sağlık personelinin ifadesine başvuruldu. Doktor D.A. ifadesinde; sorunsuz bir şekilde doğumun gerçekleştiğini, Y.S.'nin 2 gün sonra sağlıklı şekilde taburcu edildiğini, tıbbi kayıtlara göre ameliyathanedeki malzeme sayısının kayıtlara göre tam olduğunu söyledi. D.A. ifadesinin devamında, "Y.S.'ye yapılan ultrasonda yabancı bir cisim gözlenmedi. Gazlı bez tüm dikkatimize ve sayımımıza rağmen operasyon sırasında hastanın vücudunda kalmışsa steril olduğundan hastaya tıbbi bir zarar vermemiştir" dedi.
GÖRÜNTÜLEMEDE SIVI GÖRÜLDÜ
İfadesi alınanlar arasında yer alan ameliyathane hemşiresi Ö.Ö., pandemi sürecinde kendi hayatlarını hiçe sayarak anne ve bebeğin hayatını düşünerek hareket ettiklerini, ameliyat sonrasında malzemelerin tam olarak doktora bildirildiğini söyledi. Radyolojik görüntülemeyi yapan doktor E.B. ise doktor D.A.'nın talebi ile Y.S.'de yapılan görüntülemede; akciğer ve damarlara yönelik inceleme yaptığını, batındaki bir patolojinin görülmesinin imkansız olduğunu, incelemede bağırsakta genişleme ve sıvı gördüğünü söyledi.

'TANISAL GECİKMEDE ROL OYNAMIŞTIR'
Doktor E.B. ifadesinin devamında şöyle dedi: "İnceleme alanıma girdiği kadarıyla batındaki bağırsak anslarında ileri derecede distansiyon (karın şişliği) olduğundan bahsedilmiştir. Yapılan ikinci gözlemde de bağırsaklarda geçiş tıkanıklığı tanısı konulmuştur. Benim gerçekleştirdiğim işlemde herhangi bir eksik ve atlama yoktur. Aksine Gossypiboma (hastanın vücudunda yabancı cisim unutulması) varlığında erken dönemde görülebilecek en olası patolojik durum olan tıkanıklık tanısı konulmuştur. Bundan sonrası klinisyenin değerlendirmesiyle sonuçlandırılabilecek bir süreçtir. Kullanılan gazlı bezin radyopak madde ile işaretli olmaması da tanısal gecikmede rol oynamıştır."
4 PERSONELİN EYLEMLERİ İNCELENECEK
Sağlık Bakanlığı'nın Mesleki Sorumluluk Kurulu tarafından yapılan ön inceleme sonucunda, Doktor D.A., ameliyathane hemşiresi Ö.Ö., Uzman Doktor N.K., Uzman Doktor E.B. hakkında eylemlerin adli mercilerle aydınlatılması gerektiği belirtilerek, şikayetten 2 yıl sonra soruşturma izni verildi.





