Günümüzün kesintisiz bilgi akışı, sosyal medya bildirimleri ve e-posta yağmuru arasında beynimize neredeyse hiç durma şansı vermiyoruz. Ancak bilim insanlarına göre, beynimizin asıl ihtiyacı olan şey: hiçbir şey yapmamak.
Psikologlar Rachel ve Stephen Kaplan’ın 1989 yılında ortaya attığı Dikkat Yenileme Kuramı (Attention Restoration Theory), doğada geçirilen zamanın zihinsel odaklanmayı yeniden kazandırabileceğini öne sürüyor.
Bu kurama göre, iki tür dikkat var:
- Yönlendirilmiş dikkat: Bilinçli şekilde odaklanma (ders çalışmak, sosyal medya kullanmak vb.)
- Yönlendirilmemiş dikkat: Beynin serbestçe gezinmesine izin verilen farkındalık durumu (kuş seslerini dinlemek, yaprakların hareketini izlemek gibi)
Modern yaşamın sürekli dikkat gerektiren yapısı, beynimizde "dikkat yorgunluğuna" yol açıyor. Oysa sıkıldığımız ya da boş kaldığımız anlar aslında zihinsel toparlanma fırsatı sunuyor.
SIKILMAK KÖTÜ DEĞİL, ŞİFA OLABİLİR
Günümüzde sıkılmak lüks haline gelirken, araştırmalar doğada geçirilen kısa zaman dilimlerinin bile bilişsel işlevleri artırabildiğini gösteriyor. Sadece 10 dakika doğayla bağlantı kurmak, zihinsel performansta gözle görülür bir artış sağlıyor.
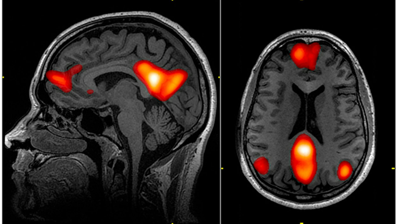
Yapılan bir çalışmada, doğada 40 dakika yürüyüş yapan bireylerin beyin görüntüleri incelendi ve stres seviyelerinde belirgin bir düşüş gözlemlendi. Aynı süreyi şehir ortamında geçirenlerde ise bu etki görülmedi.
Ayrıca, doğa görüntülerine bakarken bile amigdala (beynin stresle ilişkili bölgesi) aktivitesinin azaldığı tespit edildi.
“DURMAK” TEMBELLİK DEĞİL, BEYİN BAKIMI
Dikkat yenileme kuramı sadece doğaya çıkmayı değil, gün içindeki sıkıcı anları fırsata çevirmeyi de öneriyor. Otobüs beklerken ya da sırada beklerken telefona sarılmak yerine, zihninizi serbest bırakmak, uzun vadede odaklanma gücünüzü artırabilir.
Eğer zihniniz boş kalmakta zorlanıyor ve sürekli plan yapma gibi faaliyetlere dönüyorsa, bu durum sizin daha fazla “doğal dikkat”e ihtiyacınız olduğunu gösteriyor olabilir.
KENDİNİZİ ŞARJ ETMENİN DOĞAL YOLU
- Telefonunuzu bir kenara bırakın.
- Parkta yürüyün, bir ağacın gölgesinde oturun ya da bir nehrin kenarına gidin.
- Zihninizin doğal şekilde gezmesine izin verin.
- Doğaya çıkamıyorsanız, masa başında bir karıncayı izlemek bile işe yarayabilir.
Bu bir boşluk değil, beyniniz için bir “yeniden başlatma” sürecidir.





