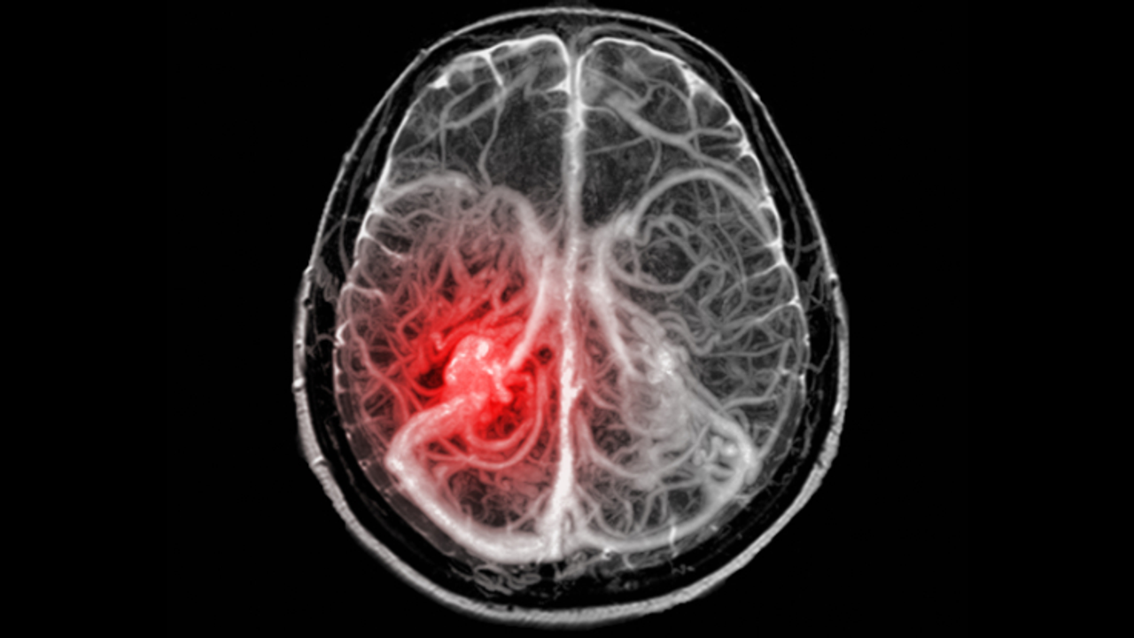
ABD'nin Utah eyaletinde, hava kalitesinin oldukça düşük olduğu Wasatch Front bölgesinde yapılan küçük çaplı bir çalışma, kirli havaya uzun süre maruz kalmanın beyin kanaması riskini artırabileceğini ortaya koydu. Utah Üniversitesi'nden beyin cerrahı Robert Rennert liderliğindeki araştırma, beş yıl boyunca hastaneye başvuran 70 beyin kanaması hastasının çevresel maruziyet geçmişini inceledi.
Araştırmaya göre, havadaki ince partikül madde (PM2.5) seviyelerinin zirveye çıktığı dönemlerden 3 ila 6 ay sonra, beyin anevrizmalarında yırtılma vakaları anlamlı şekilde artıyor.
PM2.5, ozon, azot dioksit, sülfür dioksit ve karbon monoksit gibi hava kirleticiler, vücudun genelinde iltihaplanmalara yol açarak sağlığı tehdit ediyor. Dünya genelinde yılda yaklaşık 8 milyon insanın bu tür kirleticilere bağlı nedenlerle hayatını kaybettiği tahmin ediliyor.
BEYİN DAMARLARI AYLARCA ZARAR GÖRMEYE DEVAM EDİYOR
Araştırmacılar, kısa süreli değil, uzun vadeli maruziyetin vücutta hücresel hasar birikimine neden olduğunu, DNA onarım mekanizmalarını zayıflattığını ve bağışıklık sistemini iltihabi tepkilere karşı daha hassas hale getirdiğini belirtiyor. Bu etkiler zamanla beyin damarlarının duvarlarını zayıflatıp yırtılmalara yol açabiliyor.

Çalışmada hava sıcaklığı, mevsim geçişleri ve basınç değişimleri gibi faktörler de dikkate alınarak analiz yapıldı. Elde edilen veriler, kirliliğin doğrudan beyin sağlığına etkisi olabileceğini güçlü şekilde işaret ediyor.
DAHA GENİŞ VE DERİN ARAŞTIRMALAR ŞART
Bilim insanları, bu çalışmanın neden-sonuç ilişkisini kesin olarak kanıtlamadığını, ancak oldukça güçlü bir bağlantı gösterdiğini vurguluyor. Rennert, “PM2.5’in hücre düzeyinde veya lokal inflamasyon üzerindeki etkisini ortaya koyacak daha fazla çalışmaya ihtiyacımız var” diyor.
KÜRESEL SORUN, YEREL ÇÖZÜM ARAYIŞI
Çin gibi bazı ülkeler hava kirliliğini azaltma konusunda ciddi adımlar atsa da, dünyanın birçok bölgesinde kirlilik artmaya devam ediyor. Rennert, bu tür araştırmaların halk sağlığı üzerindeki etkileri konusunda farkındalık yaratmasını ve politikacıların harekete geçirmesini umduklarını belirtiyor.
“Toplu taşıma teşvik edilmeli, günlük emisyon kotaları sıkılaştırılmalı ve çevresel araştırmalar için daha fazla kaynak ayrılmalı,” diyen Rennert, bu adımların uzun vadede toplumsal sağlığa büyük katkı sağlayacağını vurguladı.





